| Piše: Anja Drašler v novih Misterijih www.misteriji.si
Za vsako bolezen je »kriv« kak duševni konflikt
Nemški zdravnik dr. Ryke Geerd Hamer (1935-2017) je maja 1991 na Dunaju predaval o novi nemški medicini. Po predavanju mu je zdravnik prinesel CT posnetek bolnikovih možganov. Prosil ga je, da opiše stanja, ki jih je imel bolnik v telesu, ter duševne konflikte, ki so jim botrovali. Za analizo je imel dr. Hamer na voljo le eno raven - računalniški posnetek bolnikovih možganov, o njegovi psihi ni vedel nič. V dvorani je bilo prisotnih dvajset kolegov, med njimi mnogo radiologov in specialistov za CT.
Ob pregledu posnetka CT-ja je dr. Hamer diagnosticiral svežo krvavitev zaradi raka mehurja v ozdravitveni fazi, zastaranega raka prostate, sladkorno bolezen, zastaranega raka na bronhijih in senzorično paralizo določenih območij v telesu. Za vsako zdravstveno težavo je tudi povedal, kakšen duševni konflikt, šok je moral bolnik doživeti, da je imel oziroma ima tovrstne zdravstvene posledice na telesu.
Zdravnik, ki je prinesel CT posnetek bolnika, je pred kolegi v dvorani rekel:
»Dr. Hamer, čestitam vam! Pet različnih ugotovitev, vse so pravilne. Bolnik ima natančno vse to, kar ste našteli. In vi ste celo znali razlikovati, katere težave ima zdaj in katere je imel prej!«
NOVA MEDICINA
Dr. Hamer, ki je preminil 2. julija letos, je utemeljitelj tako imenovane nove nemške medicine, v nadaljevanju nove medicine. Sˇtudiral je medicino, teologijo in fiziko na Univerzi v Tu¨bingenu. Pri dvaindvajsetih letih je doktoriral iz teologije, pozneje še iz medicine. Pri šestindvajsetih je pridobil licenco za zdravnika. V naslednjih letih je bil zdravnik na več klinikah. Leta 1972 je opravil strokovni izpit za internista in se na kliniki ukvarjal z bolniki, obolelimi za rakom.
Nova medicina je ena najbolj fascinantnih pristopov pri obravnavi raka. Osredotoča se na odziv možganov na nepričakovan psihološki/čustveni šok in na to, kako nato možgani pošljejo signale v različne dele telesa v prizadevanju, da bi rešili problem. To je povsem drug, povsem nov pogled na bolezen. Zato se tudi imenuje nova medicina.
Ne vemo za zdravnika, ki bi v Sloveniji bolnike obravnaval po spoznanjih, ki jih je uveljavil dr. Ryke Geerd Hamer in se uspešno širijo po vsem svetu. Smo pa v Sloveniji odkrili konzultanta nove medicine, ki po poklicu ni zdravnik, se je pa o metodi poučil na Biologika Open University v Budimpešti. To je inženir kemijske tehnologije József Varga iz Maribora.
RELE PSIHA-MOŽGANI–ORGAN
Kako je dr. Hamer odkril povezave med možgani, dušo in telesom? Avgusta leta 1978 je bil zdravnik internist na onkološki kliniki Univerze v Münchnu. Takrat je doživel nepričakovan šok, ko so mu sporočili, da je njegovega sina Dirka na počitnicah nekdo po nesreči ustrelil. Strelno rano je dobil v medeničnem predelu, blizu vene. Kljub devetnajstim operacijam je po štirih mesecih podlegel poškodbam in umrl v očetovem naročju.
Čez nekaj mesecev, spomladi leta 1979, so dr. Hamerju odkrili raka na modih. Ker je živel zdravo in ni bil nikoli resneje bolan, je intuitivno posumil, da je raka sprožila prav dramatična nenadna izguba sina. V spomin nanj in ker je bil to prvi takšen opazovan primer, je bolezenski čustveni šok, travmo, poimenoval Dirk Hamerjev sindrom oziroma DHS.
Sinova smrt in lastna bolezen sta dr. Hamerja usmerila na posebno pot znanstvenega raziskovanja. Začel se je poglabljati v usode svojih za rakom obolelih bolnikov. Odkril je, da so rakavi bolniki pred boleznijo doživeli zelo hud, pretresljiv čustveni šok. Različni šoki so jim povzročili različne rake in tudi druge bolezni.
»Že takrat, ko so aparate za CT uporabljali samo ponekod, je dr. Hamer napovedal, da morajo bolezni - če so možgani nadzorno-komandno središče našega telesa - pustiti svoje sledi tudi tam; torej so vsa dogajanja v telesu vodena iz možganov. Vsem njegovim bolnikom so naredili CT možganov, on pa jih je primerjal z že obstoječimi ugotovitvami raziskav organov in psihološkimi vidiki. Odkril je še neznane, ampak zelo jasne in nedvoumne povezave med duševnimi, čustvenimi »konfliktno-šokantnimi« doživetji ter njihovimi telesnimi manifestacijami in povezavami v možganskih predelih. Pred tem ni bilo nobene študije o iskanju vzroka, izvora in sledi bolezni v možganih; dotlej niso raziskovali nadzorovalne funkcije možganov kot povezovalnega člena med duševnimi procesi in boleznimi organov. Za to namreč ni bilo usklajene strokovne ekipe, ne tehnologije, s katero bi lahko neinvazivno in brez poškodb slikali možgane pri aktualnih rakastih ali psihopatoloških simptomih,« pojasnjuje Varga.
NEPRIČAKOVANI PSIHIČNI ŠOK
Dr. Hamer je odkril, da se vsaka bolezen začne s hudim čustvenim pretresom. Tak dogodek doživljamo kot izredno pretresljiv in presenetljiv, saj pride nepričakovano.
»Nepričakovan šokanten dogodek naprej povzroči tako imenovano lezijo v možganih, in sicer na točno določenem predelu. Gre za prekinitev sinaptičnih povezav, ki so jih kasneje poimenovali Hamerjeve lise ali Hamer-herdi (HH). Če je tak konflikt dovolj močan, se na CT posnetku pokaže kot tarča: jasni prstanasti obroči. Prizadete možganske celice pošljejo električne in biokemične impulze v njim pripadajoči predel telesa in s tem povzročijo rast tumorja, propad tkiva ali prekinitev delovanja. Kaj konkretno, pa je odvisno od tega, v katerem predelu možganov je središče kratkega stika. Skozi evolucijo so bili možganski predeli programirani, da se ustrezno odzovejo v primeru konflikta, ki bi lahko ogrozil preživetje. Zato so posamezne vrste konfliktov povezane s točno določenimi predeli v možganih, kar je dr. Hamer tudi topografsko kartiral,« pravi Varga.
PET BIOLOŠKIH ZAKONOV
Dr. Hamer je svoja odkritja poimenoval »pet naravnih bioloških zakonov nove medicine«, ker teh petero zakonov tudi dejansko ustreza naravnim zakonitostim. Rezultati njegovih raziskav so v popolnem skladju z raziskavami embrionalnega razvoja in filogenije, biološko logiko. Odkritja dr. Hamerja so dokazali na več deset tisoč primerih prostovoljcev. Rezultat tega je znanstvena preglednica nove medicine, ki je prva preglednica po konceptu duša-možgani-organi. Prikazuje povezave med boleznimi, vsebino biološkega konflikta, kje se nahajajo Hamer-herdi v možganih in kako se to izrazi kot bolezen oziroma sprememba na organu v fazi dejavnega konflikta ter kakšne simptome lahko pričakujemo v fazi po razrešitvi, kadar poteka dejanska ozdravitev, vzpostavitev ravnotežja, razlaga József Varga.
Pristavlja, da je odkritje dr. Hamerja radikalen korak naprej v medicinski znanosti, ki ruši številne znanstvene predpostavke dosedanje stroke.
»Končno imamo možnost razumeti bolezen, pomembno prepletanje procesov, ki tečejo med dušo in možgani ter seveda organom, ki ga ta možganski rele nadzira. Ovrže dosedanji pogled, ki ima bolezen za posledico nepopolnosti ali okvare v delovanju narave. Ravno nasprotno! Nova medicina z znanstvenimi kriteriji utemeljeno ovrže ta mit in razkrije zmotno prepričanje o zlonamernih rakastih celicah ali uničujočih mikroorganizmih, pa tudi identificira in sistematizira »nalezljive bolezni«. Pri poznavanju dodatnih informacij se izkaže, da so rakasta obolenja povsem razumni biološki superprogrami narave, ki potekajo že milijone let. Njihovo poslanstvo pa je, da nam rešujejo življenje, prilagajajo in spreminjajo telo, da bi to lahko preživelo in zagotovilo obstoj vrste,« zaključuje Varga.
Anja Drašler
Odkril je, da so rakavi bolniki doživeli zelo hud čustveni šok ter da so različni šoki povzročili različne rake.
Nova medicina razkriva zmotno prepričanje o »zlonamernih rakastih celicah« in »uničujočih mikroorganizmih«.
Foto: József Varga (avtor foto Anja Drašler)
Foto dr. Ryke Geerd Hamer (avtor foto splet)
Biologična posvetovalnica s pregledom CT posnetka glave
Zgodbe ostanejo v možganih
József Varga iz Maribora je konzultant nove medicine po dr. Rykeu Geerdu Hamerju. V nadaljevanju objavljamo njegovo avtorsko analizo šestih primerov CT posnetkov (računalniške tomografije) glave po metodi dr. Hamerja. O tej metodi se je poučil na Biologika Open University v Budimpešti. Več o njegovem delu izvemo na spletni strani Biologika.si.
Tisti trenutek, ko doživimo čustveni odklon ali travmo, pride v možganih do lezije – prekinitve sinaptičnih povezav. To je začetek »smiselnega biološkega superprograma« ter se da ugotoviti in videti na CT posnetkih glave. Lezije se spreminjajo ves čas trajanja smiselnega biološkega superprograma, ob koncu pa ostane brazgotina, ki jo je bolj ali manj možno ugotoviti vse do konca življenja. Dr. Hamer, ki je to odkril, je bil pravi fenomen v »branju« takih CT posnetkov. Pred njim ni bilo skrito čisto nič.
Tehnika je dana, toda resnična uporabnost zahteva veliko znanja in predvsem prakse. Potrebno je usvojiti kar nekaj teoretičnega znanja in »imeti oko«. Žal je še zelo malo takih, ki bi metodo lahko uporabljali z neko sprejemljivo stopnjo zanesljivosti. Svetujem torej skrajno previdnost pri raziskovanju tega področja, saj je subjektivnih faktorjev veliko. Čeprav se zavedamo, da so informacije s to tehniko resnično dostopne, ne smemo trditi, da jih znamo ustrezno tolmačiti. To velja tudi zame, saj sem v tem trenutku še kar daleč od tega.
V nadaljevanju so prikazani štirje primeri iz moje začetniške prakse v uporabi te sodobne tehnologije v Biologiki, novi medicini. Opomniti moram, da CT posnetkov ne uporabljam v diagnostične namene ali kot izhodišče za izbiro terapije. O diagnozah in terapijah odločajo zdravniki ali drugo medicinsko osebje, v okviru svojih pooblastil. Biologična posvetovalnica s pregledom CT posnetka glave pa je lahko v pomoč zdravnikom in vam pri razumevanju vašega stanja in zmanjšanju tveganja za ponovni razvoj bolezni.
PRVI PRIMER
Gospa, 51 let, desničarka, uravnovešeno hormonsko stanje
Gospa prihaja k meni s težavami v prebavi, ima občasne intenzivne krče v srednjem in spodnjem delu trebuha, s težavo odvaja blato. Bolečin v predelu zadnjične odprtine ne navaja. Osebni zdravnik sumi na zaporo črevesa in jo napoti na pregled v bolnico. Gospa prinaša s seboj CT posnetek glave in kasneje tudi CT posnetek trebušne votline.
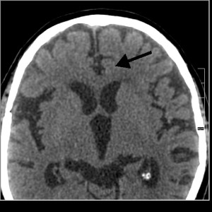
 CT glave 51-letne desničarke
Rdeča puščica: Hamerjevo žarišče na releju maternične sluznice - vnetje ali endometrioza. Verjetno gre za staro brazgotino, ki je posledica biološkega konflikta v preteklosti. Možna čustvena vsebina ali ozadje biološkega konflikta je lahko različna, na primer »mama me je zapustila«, »komplikacije glede materinstva« (težka zanositev ali celo splav), »umazane zgodbe med moškim in žensko« in tako naprej. Naloga konzultanta-svetovalca je, da razišče dejansko čustveno ozadje, ker je vzorec zelo izrazit in je pri gospe možno pričakovati recidiv ali ponovno pojavitev, ravno zaradi biološko naučenega načina na takšno avtomatsko čustveno odzivanje. Temu rečemo tudi, da je »programirana«. Ob pogovoru z gospo izvem, da so bili v njenem primeru prisotni vsi trije navedeni konflikti.
Rumena puščica: Hamerjevo žarišče na releju parenhima jeter - difuzno povečanje ali vnetje jeter. Glede na obliko »brazgotine« je tudi ta delno stara in tudi sveža. V smislu najosnovnejšega biološkega načela in potrebe živega bitja za golo preživetje je ta sprememba posledica pomanjkanja hrane. To velja, če lahko zagotovo izključimo možnost zastrupitve (ki jo lahko povzročijo tudi zdravila, alkohol, pretirana prehranska dopolnila, tako imenovani E-ji). Jetra se s povečanjem števila jetrnih celic odzovejo v času pomanjkanja hrane.
To je zelo trivialna poteza matere narave, toda funkcionira že od pradavnine. Zelo enostavno in logično je, da lahko več jetrnih celic bolj izkoristi tisto malo hrane, ki nam je na razpolago. Človek pa je resnično posebna žival, predvsem kadar gre za čustva in avtomatsko reagiranje. V Biologiki poznamo zelo veliko primerov, ko take spremembe niso povezane izključno s pomanjkanjem hrane. Tako je tudi pri tej gospe. Da bi trpela zaradi pomanjkanja hrane, je pri njej zagotovo izključeno. Za kakšnim pomanjkanjem potem trpi? Kaj je tisto, kar ji manjka v življenju in brez česar življenje ne more biti pravo življenje? Ji primanjkuje ljubezni, razumevanja, spoštovanja? Je morda na kakšni dieti in so ji prepovedali uživati najljubšo jed - kot je to značilno za odnos diabetikov do slaščic ali bolnikov s celiakijo do običajnega kruha.
Modre puščice: Hamerjeva žarišča na relejih sluznice črevesja skoraj po celotni dolžini od zgornjega dela tankega črevesa (tešče črevo ali jejunum) vse do vranične krivine (flexura linealis) prečnega debelega črevesa. Zelo verjetno gre tudi tukaj za »stare zgodbe«, je pa zagotovo nekaj aktivnih žarišč in je gospa še vedno v fazi aktivnega konflikta. Sluznica črevesa se v tem že spodnjem predelu prebavnega trakta odziva na biološki konflikt, ki je povezan z »zalogajem« (grižljaj, hrana in s pridobivanjem hrane povezane zadeve), ki smo ga sicer »zaužili«, sedaj pa bi se radi tega čim prej rešili, saj je za nas stvar neugodna, neprimerna, sramotna, žaljiva, umazana.
V službi nam je sodelavec speljal posel, šef nas je prisilil v neugodno situacijo, na zapuščinski razpravi me je lastni brat zašil in mi speljal dediščino, žena me je prevarala z najboljšim prijateljem, in tako naprej. Zelo redko gre dejansko za zaužito hrano, temveč za zgodbe in življenjske okoliščine, v katerih se znajdemo nepričakovano in na katere nismo pripravljeni. Dr. Hamer je te situacije opisal tako, da »nas najdejo na napačni nogi«, kakor vratarja pri strelu enajstmetrovke.
 CT trebušne votline 51-letne desničarke
Na podlagi tega dodatnega posnetka tudi zdravniki postavijo diagnozo ciste v jetrih.
 CT glave 51-letne desničarke
Slika kaže stare brazgotine in nove lezije v predelu releja žolčnih kanalov. Kaže na komplikacijo ponavljajočih se ciklusov, lahko tudi več let.
Pri raziskavi ozadja njenih cist v jetrih moramo preveriti še releje jetrnih kanalov, prek katerih se v glavnem zbira žolčna tekočina, ki prehaja v sam žolčnik. Ker je notranja stena teh kanalov obdana s povsem drugačnim tkivom od parenhimskega tkiva jeter, je tudi rele za ta tkiva drugje. Puščica kaže na dokaj »obrabljeno« področje, kar pomeni verjetnost, da je prizadeta oseba nagnjena k razburjanju, nerganju, kuhanju jeze zaradi posega v njen življenjski prostor ali »motenja posesti«. To je tista klasična, ki jo poznamo kot »gre mi na jetra«.
Po diagnozah, ki jih je dobila pri zdravnikih specialistih, je gospa resno prestrašena in zelo negotova. Pravega vzroka njenih težav ji ne znajo povedati, tudi narava cist v jetrih je za uradno medicino skrivnost. Glede vrste in trajanja terapije bolj ali manj samo ugibajo, da bi pa napovedali težo simptomov ali celo končno ozdravitev, spada v kategorijo znanstvene fantastike. Osebni zdravnik in eden od zdravnikov v specialistični ambulanti pa sta jo s svojo črnogledostjo in napovedmi še bolj prestrašila in spravila v obup.
Ker gre za hujšo stopnjo več bioloških konfliktov, ki povrh vsega potekajo istočasno in zaporedno na različnih tkivih in organih oziroma so do določene stopnje še v fazi aktivnega konflikta, obstaja pri gospe velika verjetnost, da bo intenzivnost simptomov (težave, bolečine, krči, slabost in drugo) v fazi po rešitvi konflikta zelo izrazita. Z običajno terminologijo klasične medicine bi rekli, da gospo čaka še večja, še hujša bolezen od sedanje. Tega se zelo dobro zavedam tudi sam, zato ji odkrito razložim svoje mišljenje. Ob tem izvem, da so vzroki za vsaj dva biološka konflikta že razrešeni.
To pa pomeni, da ni poti nazaj. Smiselni biološki superprogrami so že v fazi po rešitvi konflikta, ki ji lahko rečemo tudi faza regeneracije, saj se prične »popravilo organa«, v njenem primeru razgradnja sedaj že odvečnega tkiva črevesne sluznice. Proces lahko spremljajo izraziti simptomi vnetja, krčev, občasne zaprtosti. V skrajnem primeru lahko pride tudi do zaprtja črevesa oziroma neprehodnosti. V tem primeru je opustitev zdravniške pomoči lahko smrtno nevarno početje. V primeru manjše intenzivnosti biološkega konflikta, ki ni trajal predolgo (kombinaciji teh dveh faktorjev rečemo »konfliktna masa«), pa intenzivnost simptomov (bolečine, težave, nevšečnosti) ne bo tako izrazita in bodo minili po naravni poti.
DRUGI PRIMER
Gospa, 53 let, desničarka, neuravnovešeno hormonsko stanje
Gospa ima izrabljen desni kolk, hude bolečine in težko hodi. Pri ortopedu je že bila. Ima izrabljen levi kolk in dogovarja se za operacijo.
 CT glave 53-letne desničarke
Na releju levega kolka vidim več manjših starejših brazgotin. Stanje je verjetno posledica večletnega obdobja ponavljajočih se ciklusov biološkega konflikta zloma samopodobe. V kolikor gre za blažjo obliko čustvenega nihanja, se bo sprememba pokazala na mišicah ali vezivnem tkivu v predelu desne noge oziroma medenice. Če pa gre za hujši konflikt samopodobe (popolno razočaranje nad samim seboj, nisem za nobeno rabo, sem samo še za odpis in podobno), bodo prizadeti sklepi in tudi kostna masa. Vsebina čustvenega konflikta v konkretnem primeru je: »Tega ne morem narediti.«
Toda jaz ne vidim znakov aktivnih lezij na levi nogi oziroma kolku. Vidim pa »klasične« koncentrične kroge (Hamerjeva žarišča) na releju desnega kolka in desne noge (puščice).
TRETJI PRIMER
Moški, 84 let, desničar
Gospod je v preteklosti imel probleme z debelim črevom in prostato. Je sladkorni bolnik, tip 2. Več kot dvajset let je bil na inzulinskih injekcijah, zadnja tri leta pa samo še na tabletah. Pred nedavnim je tudi ovdovel. Čeprav nima težav z zdravjem, ki bi ga ovirale pri vsakodnevnem funkcioniranju, ga zanimajo morebitni aktivni konflikti, za katere mogoče še niti ne ve.

CT glave 84-letnega desničarja
Bele puščice kažejo na stare brazgotine - ostanke konfliktov in lezij iz preteklosti. Ti so sedaj že neaktivni. Smiselni biološki superprogrami so se iztekli. Črna puščica je na releju desnega srednjega ušesa in kaže na aktivni konflikt. Čustvena vsebina biološkega konflikta je želja po »zalogaju« glasu ali »Želel bi slišati, manjkajo mi … glasovi, besede, pogovor. Brez teh glasov je življenje prazno.«

CT glave 84-letnega desničarja
Puščice kažejo stare brazgotine na releju beta-Langerhansovih otočkov. Možgani regulirajo količino inzulina v krvi z blokado delovanja teh celic. Padec inzulina posledično pomeni povečanje glukoze. To glukozo potrebujejo možgani in mišice kot gorivo v boju. Ta trivialni odziv (smiselni biološki superprogram) sproži v možganih potreba po borbi ali tekmi za lastno pravico, posest, imetje, priznanje resnice in drugo.
Pri gospodu smo bili najbolj pozorni na morebitno prisotnost sindroma ledvičnih cevčic, ki je pogosta posledica čustvenega doživljanja osamljenosti. K sreči signifikantnih sprememb na teh relejih nismo ugotovili. Odkrit ter dovolj globok pogovor na to temo pa je še dodatno sprostil možne napetosti. Sam sindrom ledvičnih cevčic (konflikt ubežnika) bo bolj podrobno opisan na naslednjem primeru.
ČETRTI PRIMER
Moški, 48 let, desničar, uravnoteženo hormonsko stanje
Moški srednjih let ima prebavne težave. Diagnoze, ki bi točno opisovala obliko spremembe na nekem določenem organu ali tkivu in ki bi bila potrjena s strani uradne medicine, nima. To je po eni strani dobro, saj bolezen verjetno še ni v tako kritični fazi. Po drugi strani pa je težko najti dejanske vzroke za njegove težave, ki pa jih dejansko ima in ki otežujejo njegovo vsakdanje življenje.
Pomembno pa je najti vzroke - biološke konflikte – in jih razreševati v resničnem življenju. Sicer se bo ob podobnih življenjskih okoliščinah (stres, drama, strah, nagla jeza in drugo) vedno znova odzival s podobnimi čustvi in biološki konflikti se bodo povrnili. S tem pa tudi bolezni, saj enaki biološki konflikti vedno znova sprožijo enake smiselne biološke superprograme: lezija v možganih, aktivna faza konflikta s spremembami na prizadetem tkivu, po rešitvi konflikta faza regeneracije skupaj s spremljajočimi neugodnimi simptomi in drugo.
Zato je edino izhodišče naših raziskav CT glave in pogovor o čustvenem oziroma telesnem stanju gospoda.

CT glave 48-letnega desničarja
Prve lezije, ki jih lahko vidimo na CT posnetku, so na relejih entodermalnih tkiv. Puščica 1 kaže na rele žlezastega tkiva spodnje tretjine požiralnika. Ta smiselni biološki superprogram se aktivira na biološki konflikt »dobiti zalogaj«, na primer: »Nisem dobil … čeprav sem bil prepričan, da bom.«
Puščica 2 kaže na rele zgornjega dela tankega črevesa (jejunum). Zelo zanimivo, koliko že sámo ime tega organa pove o ozadju težav. Slovensko se namreč temu reče tešče črevo. To pomeni, da nismo jedli (imeli zalogaja) in smo sedaj tešči. Tukaj bi naj se začela prava presnova zaužite hrane, ampak mi zalogaja nismo dobili. Čeprav »smo si ga zaslužili, saj smo delo opravili pošteno, sedaj pa se lahko obrišemo pod nosom.« To je čustveno ozadje oziroma biološki konflikt za ta smiselni biološki superprogram. Prizadetost je možno opaziti tudi na relejih vitega črevesa in distalnega dela debelega črevesa ali celo esastega črevesa.
Puščica 3 kaže na rele ledvičnih cevčic (tubuluse), ki so v medularni piramidi ledvic. V teh cevčicah poteka resorpcija izločene vode po končani filtraciji krvi. Ledvice uravnavajo količino vode v telesu. Ledvične cevčice v medularni piramidi reagirajo na čustveno travmo občutka zapuščenosti: »zapustili so me, nihče ne skrbi za mene, ostal sam sem, nihče me ne razume, osamljen sem, počutim se kot riba na suhem« in drugo. Dr. Hamer je ta smiselni biološki superprogram poimenoval »sindrom ubežnika«. To so zelo nevarna čustva, na katera moramo biti zelo pozorni. Če je biološki konflikt dovolj močan in traja predolgo, bo presežena magična meja količine vode, ki je telo na zahtevo možganov ne bo želelo izločiti (zapuščeno pomeni nevarnost izsušitve) in lahko pride do odpovedi ledvic ali posledično celo do smrti.
ZAKLJUČEK, OPOZORILO
Branje CT posnetkov ni enostavno in ni vedno enoznačno. Pomembno je, da se vedno pogovorimo z osebo o njenem stanju, primerjamo izvide uradne medicine in prisluhnemo njenim življenjskim zgodbam. Vloga konzultanta je, da pomaga prizadeti osebi do resničnega razumevanja njenih smiselnih bioloških superprogramov (ali bolezni), kje in v kateri fazi se trenutno nahaja, kaj konkretno je bil povod in vzrok za sprožitev tega programa in kaj jo eventualno še čaka. Vse to v smislu petih naravnih bioloških zakonov, ki jih je opisal dr. Hamer. Konzultant ali svetovalec ne zdravi in ne predpisuje ali izvaja terapij.
Zelo velik napredek v uspešnosti zdravljenja bolnikov pa bi lahko dosegla uradna medicina oziroma zdravniki, če bi se sami poglobili v nauk dr. Hamerja in svoje protokole prilagodili tej novi paradigmi.József Varga?
Brazgotine na releju levega kolka so posledica ponavljajočih se ciklusov biološkega konflikta zloma samopodobe.
CT POSNETEK GLAVE
Računalniška tomografija ali CT (angleško Computed Tomography) je bila prva sodobna metoda slikanja možganov. Je ena od metod oziroma naprav, s katero zdravniki gledajo v naš organizem. Pri analizah nove medicine CT ni nujno potreben, če pa se bolnik odloči zanj, potrebuje posnetek glave oziroma možganov. Posnetek naj bo čim bolj preprost in brez kontrastnega sredstva.
Posnetek lahko naročite načeloma v vsaki bolnišnici ali drugi ustanovi, ki takšno napravo ima in te storitve izvaja tudi za samoplačnike.
Preden naredite CT posnetek glave, priporočamo, da se o tem, zakaj in kako, poučite na spletni strani Józsefa Varge www.biologika.si, na e-naslovu biologika.si@gmail.com ali po telefonu na 051/691 853.
CT glave lahko samoplačniško naredimo v zdravstvenih centrih, kjer opravljajo radiološko diagnostiko, med drugim za 135 € v Fontani v Mariboru ali za 150 € v Medilabu v Ljubljani.
Foto: ct posnetki
|
Nova medicina
Prispeval/a: Nan dne četrtek, 12. oktober 2017 @ 10:47 CEST
https://www.dnevnik.si/330249
http://www.zazdravje.net/razkrivamo.asp?art=752